TEL:025-82210064   Email:374221297service@yfxbio.com 联系我们

当前位置: 首页 >> 产品中心 >> 细胞株 >> 人源细胞系

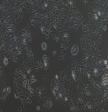
DLD-1 人结直肠腺癌上皮细胞(STR鉴定正确)

  • 产品编号:

    YFX-CLH070

  • 产品规格:

    1×106cells/T25培养瓶

  • 目录价格:

    1475

  • 说明书下载:

    点击下载

产品简介
细胞收取后处理方式
细胞传代
细胞复苏
细胞冻存

产品简介

细胞简介

DLD-1细胞是由D·L·Dexter和其同事于1977-1979年分离的两株结直肠腺癌细胞株中的一株。在ATCC和其它地方进行的DNA指纹鉴定和染色体组型分析表明DLD-1细胞与HCT-15细胞相似,说明这两者是来自同一个人的不同克隆。DLD-1细胞和HCT-15细胞的遗传起源可通过DNA指纹鉴定证实,但染色体组型分析显示它们缺乏染色体标记一致改变或数目上一致改变。DLD-1细胞的CSAp阴性(CSAp-),p53抗原表达呈阳性(p53抗原产生了一个C→T点突变导致241位的Ser→Phe)。DLD-1细胞角蛋白免疫过氧化物酶染色阳性,癌基因c-myc、K-ras、H-ras、N-ras、myb、sis和fos的表达呈阳性,癌基因N-myc的表达未做检测。DLD-1细胞表达肿瘤特异性核基质蛋白CC-2、CC-3、CC-4、CC-5和CC-6。1979年提交到ATCC的DLD-1细胞代数不明且污染了支原体,其后经过12周多种抗生素联合培养处理,处理之后每周用Hoechst染色和标准培养法检测。其后连续11个月不加抗生素培养,DLD-1细胞所有的检测呈阴性。

生长培养基

RPMI-1640+10% FBS+1% P/S。

细胞特性

上皮细胞样,贴壁生长。

培养条件

气相:空气,95%;二氧化碳,5%。 温度:37℃,培养箱湿度为70%-80%。

推荐传代比例

1:2-1:4

推荐换液频率

2~3次/周

冻存条件

冻存液:90%血清,10%DMSO,现用现配。

运输

冻存细胞干冰运输; 复苏细胞常温运输。

细胞收取后处理方式

1、收到常温细胞后,第一时间检查培养瓶有无漏液、瓶身有无破损现象,如有则立即拍照并联系公司业务员;收到冻存细胞后,第一时间检查干冰是否全部已挥发、冻存管瓶盖是否脱落、破损,如有则立即拍照并联系公司业务员。

2、不要打开培养瓶盖,先用75%酒精擦拭培养瓶表面,显微镜下观察细胞状态,如有任何疑问,立即拍照清晰照片,联系公司业务员。

3、将细胞静置于细胞培养箱培养2-4小时,稳定细胞状态。

4、仔细阅读说明书,严格按照说明书上的要求进行后续操作。

5、静置完成后,取出细胞培养瓶,进行镜检、拍照(建议40×、100×、200×各一张),所拍照片将作为后续服务的依据,建议细胞传代培养之后,定期拍照、记录细胞生长状态。

细胞传代

一、悬浮细胞:

可通过补充新鲜培养基或者离心换液两种方式维持培养,离心转速参考1200 rpm(250g左右),离心3分钟。

二、贴壁细胞:

1、弃去培养上清,用不含钙、镁离子的 PBS 润洗细胞 1-2 次。

2、 加入 0.25%(w / v)胰蛋白酶-0.53 mM EDTA 于培养瓶中(T25 瓶 1-2mL,T75 瓶 2-3mL),置于 37℃培养箱中消化 1-2 分钟(难消化的细胞可以适当延长消化时间),然后在显微镜下观察细胞消化情况,若细胞大部分变圆并脱落,迅速拿回操作台,轻敲几下培养瓶后加入 3-4mL 含 10%FBS 的培养基来终止消化。

3、轻轻打匀后吸出,在 1000RPM 条件下离心 3-5min,弃去上清液,补加 1-2mL培养液后吹匀。将细胞悬液按 1:2 的比例分到新 T25 瓶中,添加 6-8mL 按照说明书要求配置的新的完全培养基以保持细胞的生长活力,后续传代根据实际情况按 1:2~1:5 的比例进行。

细胞复苏

将含有 1mL 细胞悬液的冻存管在 37℃水浴中迅速摇晃解冻,加入到含 4-6mL 完全培养基的离心管中混合均匀。在 1000RPM 条件下离心 3-5min,弃去上清液,完全培养基重悬细胞。然后将细胞悬液加入含 6-8mL 完全培养基的培养瓶(或皿)中 37℃培养过夜。第二天显微镜下观察细胞生长情况和细胞密度。

细胞冻存

收到细胞后建议在培养前 3 代时冻存一批细胞种子以备后续实验使用。下面 T25 瓶为例:

1、细胞冻存时按照细胞传代的过程收集消化好的细胞到离心管中,可使用血球计数板计数,来决定细胞的冻存密度。一般细胞的推荐冻存密度为 1×106~1×107个活细胞/mL。

2、1000rpm 离心 3-5min,去掉上清。用配制好的细胞冻存液重悬细胞 ,按每1mL 冻存液含 1×106~1×107个活细胞/mL 分配到一个冻存管中将细胞分配到冻存管中,标注好名称、代数、日期等信息。

3、将要冻存的细胞置于程序降温盒中,-80 度冰箱中过夜,之后转入液氮容器中储存。同时记录好冻存管在液氮容器中的位置以便后续查阅和使用。

代理品牌

联系我们

电话:13770634715
邮箱:3515301762@qq.com
QQ:3515301762