TEL:025-82210064   Email:374221297service@yfxbio.com 联系我们

当前位置: 首页 >> 产品中心 >> 细胞株 >> 人源细胞系

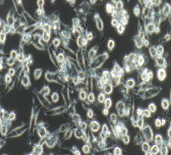
MIA-PACA-2 人胰腺癌细胞(STR鉴定正确)

  • 产品编号:

    YFX-CLH136

  • 产品规格:

    1×106cells/T25培养瓶

  • 目录价格:

    ¥1650

  • 说明书下载:

    点击下载

产品简介
细胞收取后处理方式
细胞传代
细胞冻存
细胞复苏
注意事项

产品简介

背景描述           

1975年A. Yunis等从一位65岁白人男性患者的胰脏肿瘤组织中建立了MIA PaCa-2细胞株。据报道,该细胞系的倍增时间约为40小时,软琼脂中的集落形成效率约为19%。MIA PaCa-2细胞对天门冬酰胺酶敏感,表达人类集落刺激因子亚类I(CSF-I)和纤溶酶原激活剂。MIA PaCa-2细胞株可用于3D细胞培养和癌症研究。细胞正常细胞形态为半悬半贴,传代时收集悬浮细胞在和通过胰酶消化后的贴壁细胞合并一起分瓶传代培养。

细胞形态             

上皮细胞样,半贴壁生长。

规格                

>1×106ceLLs,T25瓶或者1mL冻存管包装。

细胞来源             

人胰腺。

培养基             

DMEM高糖+ 10% FBS+ 2.5% HS+ 1% P/S。

培养条件               

气相:空气,95%;二氧化碳,5%; 温度:37℃;培养箱湿度为70%-80%。

该细胞贴壁较慢,传代或复苏48小时后方可贴壁完全。该细胞正常情况下为贴壁细胞与圆形漂浮细胞同时存在。换液时需注意保留漂浮细胞,传代时需将贴壁细胞和漂浮细胞一同收集后再传代。

细胞检测              

不含有HIV-1、HBV、HCV、支原体、细菌、酵母和真菌等。

传代比例              

1:2-1:5;第一次收到细胞建议T25培养瓶1:2传代。

换液频率               

1-2天。

细胞冻存液           

无血清冻存液。

细胞收取后处理方式

1、收到细胞后,75%酒精消毒瓶壁将T25瓶置于37℃培养箱放置约2-3h,若发现培养瓶破损、有液溢出及细胞有污染,请拍照后及时联系我们。 

2、请在4或5×显微镜下确认细胞状态,同时给刚收到的细胞拍照(10×,20×)各2-3张以及培养瓶外观照片一张留存,作为售后时收到时细胞状态的依据。

3、半贴细胞和贴壁不牢(悬浮)细胞:T25瓶置于37℃培养箱中约2-3h,显微镜下观察细胞的情况,若细胞密度在60%以下,客户需收集T25瓶中的悬浮细胞离心后用完全培养基重悬后打回到原培养瓶中继续培养,若细胞生长70%-90%对细胞进行传代,传代时需要收集培养基中悬浮的细胞离心后回收。

4、备注:运输用的培养基不能再用来培养细胞,请换用按照说明书细胞培养条件新配制的完全培养基来培养细胞。收到细胞后第一次传代建议T25培养瓶1:2传代 。

细胞传代

对于半贴壁细胞传代可以参考以下方法:

1、收集:将培养瓶中的悬浮的细胞收集到离心管中。用不含钙、镁离子的PBS润洗细胞1-2次。由于细胞贴壁不牢PBS润洗后细胞会脱落所以PBS也要回收到离心管中。

2、加入0.25%(w / v)胰蛋白酶-0.53 mM EDTA于培养瓶中(T25瓶1-2mL,T75瓶2-3mL)置于37℃培养箱中消化1-2分钟(难消化的细胞可以适当延长消化时间),然后在显微镜下观察细胞消化情况,若细胞大部分变圆并脱落迅速拿回操作台,轻敲几下培养瓶后加入3-4mL含10%FBS的培养基来终止消化。

3、将收集到的悬浮细胞、pbs清洗液中的细胞和消化下来的贴壁细胞以1000rpml离心5min,弃去上清,补加1-2mL培养液后重悬混匀后将细胞悬液按1:2的比例分到新T25瓶中,添加6-8ml按照说明书要求配置的新的完全培养基以保持细胞的生长活力,后续传代根据实际情况按1:2~1:5的比例进行。

注:如细胞不能一次性完全消化,可采取如下方法:

A. 准备一个无菌的 15mL离心管,加入 2mL完全培养基。

B. 将消化下来的细胞加入到上述离心管中。

C. 向之前消化的培养瓶中加入 1mL 胰酶继续消化2min左右,轻拍培养瓶,95%左右细胞脱落后加入2mL含 10%FBS 的完全培养基中和,中和后的细胞悬液移入A中的离心管内。

细胞冻存

收到细胞后建议在培养前3代时冻存一批细胞种子以备后续实验使用。下面T25瓶为例;

1、选择指数生长期的细胞,吸去培养液,加PBS清洗1-2遍。去PBS,加入0.25% 胰酶1.5mL润洗10秒,去胰酶。将培养瓶放37度培养箱,靠残余胰酶继续消化细胞直至细胞变圆,拍打瓶侧使细胞脱落。细胞消化下来后,加5mL培养液全部吹打下来,再1000RPM离心3分钟。

2、加入1-1.5mL成品冻存液,分装至2mL冻存管里,将冻存管放入充满异丙醇的程序降温盒中,之后转入-80℃度冰箱过夜,第二天再转至液氮。

细胞复苏

1、将恒温水浴锅中的水预热到37℃。

2、准备一支15mL 离心管,加入5mL 完全培养基,放入 37℃水浴锅中预热。

3、戴上护目镜,厚毛线手套后,从液氮罐中取出要复苏的细胞,尽快转入 37℃恒温水浴锅中复温晃动冻存管以提高复温速率。

4、将融化了的冻存管中的细胞吸入事先准备的离心管中,混匀后,1000rpm 离心 5min。

5、准备一个 T-25 培养瓶,写上细胞名称、日期,再加入 4mL 完全培养基。

6、离心完成后弃去上清,用 1mL 完全培养基重悬细胞后,转入 T-25 细胞培养中,混匀后转入CO2 培养箱中培养静置。

注意事项

1、所有动物细胞均视为有潜在的生物危害性,必须在二级生物安全台内操作,并请注意防护,所有废液及接触过此细胞的器皿需要灭菌后方能丢弃。

2、从液氮中取出细胞冻存管时,若冻存管内有液氮进入,需拧松冻存管,排出内部残留的液氮,之后拧紧冻存管,置于干冰上,然后放入 37℃水浴中,避免温差太大造成液氮快速气化而爆炸。

代理品牌

联系我们

电话:13770634715
邮箱:3515301762@qq.com
QQ:3515301762